O nama Tim Naši radovi Estetika lica Kontakt Zakažite pregled
Stomatološka ordinacija · Republička 1a · Sunčana Padina, u blizini Banovog brda i Žarkova

Pažljivo planirana stomatologija za osmeh koji deluje prirodno

U ordinaciji Dentana Pro zdravlje, funkcija i estetika osmeha planiraju se sa merom, iskustvom i individualnim pristupom. Savremena terapija, prijatna atmosfera i jasno vođen proces lečenja ostaju osnova svakog pregleda.

Individualan pristup Plan terapije prilagođen stanju zuba, očekivanjima i tempu pacijenta.
Estetika i funkcija Rezultat koji izgleda negovano, prirodno i usklađeno s crtama lica.
Dentana Pro stomatološka ordinacija — prijatan ambijent i savremena oprema
Dentana Pro Ordinacija Republička 1a · Sunčana Padina, u blizini Banovog brda i Žarkova

Ordinacija Dentana Pro — poverenje, preciznost i individualni pristup u stomatologiji od prvog pregleda do završnog rada.

Od 2013. godine
Dentana Pro ordinacija — moderan i prijatan ambijent
O ordinaciji

Dentana Pro

Dentana Pro je ordinacija u kojoj negujemo stomatologiju zasnovanu na poverenju, preciznosti i individualnom planiranju terapije. Verujemo da vrhunski rezultat ne čini samo kvalitet rada, već i način na koji se pacijent oseća tokom celog procesa.

Zato svakom dolasku pristupamo sa merom i pažnjom — od prvog pregleda i jasnog objašnjenja terapije, do završnog rada koji treba da bude funkcionalan, estetski skladan i dugoročno pouzdan.

U prijatnom ambijentu — Republička 1a, Sunčana Padina, u blizini Banovog brda i Žarkova — posvećeni smo tome da pacijent dobije stručnu negu, mirnu komunikaciju i osećaj sigurnosti.

„Lepa stomatologija za nas znači spoj zdravlja, funkcije, estetike i poverenja pacijenta."

Individualan plan terapijePrilagođen stanju zuba, željama i tempu svakog pacijenta ponaosob.
Savremena oprema i materijaliTerapija koja kombinuje preciznost, dugotrajnost i prirodan izgled rezultata.
Mirna i jasna komunikacijaSvaki korak terapije objašnjavamo pre nego što počnemo — nema iznenađenja.
Naš tim

Tim koji spaja stručnost, preciznost i poverenje

Dr. Ana Jaraković — osnivač i vlasnik ordinacije

Dr Ana Jaraković

Osnivač i vlasnica · doktor stomatologije

Osnivač i vlasnica ordinacije Dentana Pro. Diplomirala na Stomatološkom fakultetu u Beogradu 2008. Privatnu praksu osnovala je 2013. godine. Kontinuirano se usavršava u konzervativnoj stomatologiji, protetici, estetskoj stomatologiji i antiage medicini — član udruženja Sesiam.

Dr. Zorica Popović Ignjatović — doktor stomatologije

Dr Zorica Popović Ignjatović

Doktor stomatologije

Diplomirala na Stomatološkom fakultetu u Beogradu, deo je tima od 2015. godine. Posvećena estetskoj, restaurativnoj i preventivnoj stomatologiji. Završila i kurseve iz antiage medicine. Nekadašnja prvakinja u skijanju — disciplinu i perfekcionizam unosi u svakodnevni rad.

Dr. Tijana Aćimović — specijalizacija parodontologija i oralna hirurgija

Dr Tijana Aćimović

Specijalizacija · Parodontologija i oralna hirurgija

Diplomirala 2020. kao jedan od najboljih studenata generacije, odmah postala najmlađa članica tima ✨ Završava specijalizaciju na Klinici za parodontologiju i oralnu medicinu. Bavi se hirurškom terapijom mekih tkiva, oralnom hirurgijom, implantologijom i stomatološkom rehabilitacijom.

Dr. Jasmina Milišić — specijalista ortodoncije

Dr Jasmina Milišić

Specijalista ortodoncije

Spec. dr Jasmina Milišić diplomirala je na Stomatološkom fakultetu u Beogradu. Postdiplomske studije pohađala je na Medicinskom fakultetu u Ljubljani. Specijalizaciju iz oblasti ortopedije vilica završila je na Stomatološkom fakultetu u Pančevu.

Članica je našeg tima od 2014. godine.

Od prvog dana karijere posvećena je ispravljanju zagrižaja i položaja zuba, kako kod dece tako i kod odraslih. Posebno uživa u radu sa malim pacijentima, sa ciljem što ranijeg otkrivanja, prevencije i uspostavljanja pravilnih osnova za dalji rast i razvoj njihovih zuba.

Članica je Ortodontskog udruženja Srbije i Evropskog ortodontskog društva.

Nežan pristup za naše najmlađe

Dečja stomatologija

Deci je posebno važno da ordinaciju dožive kao prijatno i sigurno mesto. Zato im pristupamo postepeno, uz strpljenje, toplu komunikaciju i objašnjavanje svakog koraka na način koji razumeju.

Naš cilj nije samo rešavanje trenutnog problema, već i izgradnja poverenja prema stomatologu, kako bi redovne kontrole i dobra oralna higijena postale prirodan deo odrastanja.

Kada prvo iskustvo bude dobro, kasniji dolasci postaju lakši — a očuvanje zdravlja zuba jednostavnije i za dete i za roditelje.

Zakažite pregled za dete
Dečja stomatologija — Dentana Pro
Estetika lica — lifting i popunjavanje, Dentana Pro
Estetika lica
Botoks tretman u Dentana Pro
Botoks tretman
Hijaluronski fileri u Dentana Pro
Hijaluronski fileri
Mezoterapija i biorevitalizacija u Dentana Pro
Mezoterapija
Tretman usana u Dentana Pro
Tretman usana
Botoks glabele — pre i posle tretmana u Dentani
Botoks glabele
Konsultacije za estetiku lica u ordinaciji Dentana
Konsultacije
Botoks čela — pre i posle tretmana u Dentani
Botoks čela
Hijaluronski fileri usana — pre i posle tretmana u Dentani
Fileri usana
Prirodno oblikovanje usana — pre i posle tretmana u Dentani
Oblikovanje usana
Dopunska usluga

Estetika lica uz stomatologiju

Kao nadgradnja stomatološke nege, nudimo i estetske tretmane lica. Nakon kreiranja vašeg novog osmeha, možemo se posvetiti harmonizaciji celokupnog izgleda na siguran, prirodan način.

1
Aplikacija botoksa Precizna i bezbedna primena botulinum toksina za glatkiju kožu i harmoničan izgled lica, bez narušavanja prirodne ekspresije.
2
Poboljšanje tonusa kože Mezoterapija i biorevitalizacija — Profhilo, Karisma, Jalupro. Duboka hidratacija i obnova kože za prirodan sjaj i čvrstinu.
3
Hijaluronski fileri Povećanje usana, jagodica i definisanje donje trećine lica uz hijaluronske filere. Prirodan volumen i kontura, prilagođeni vašim crtama.
Zakažite konsultaciju
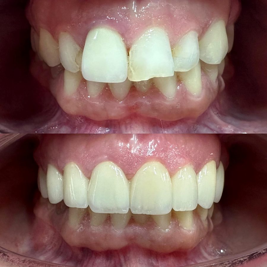
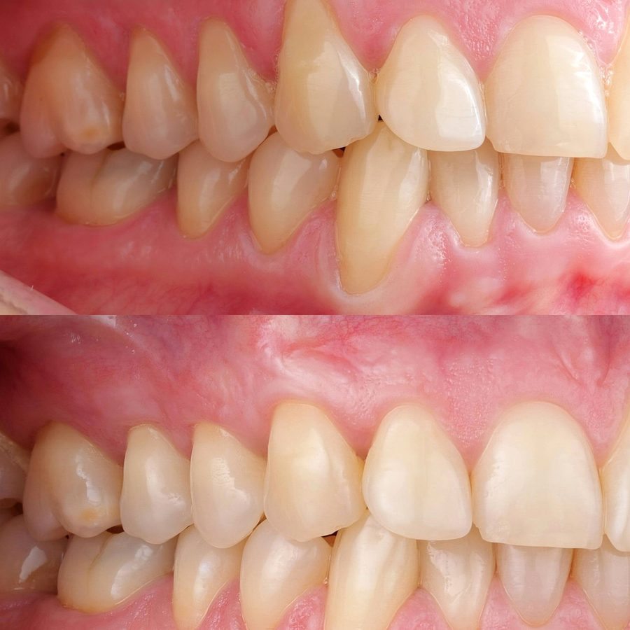
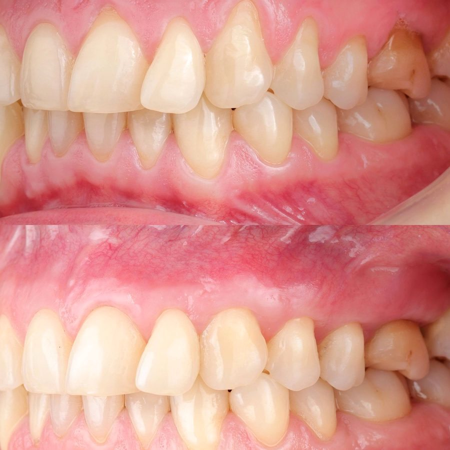
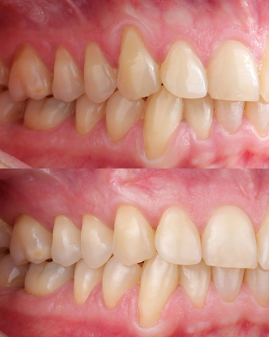
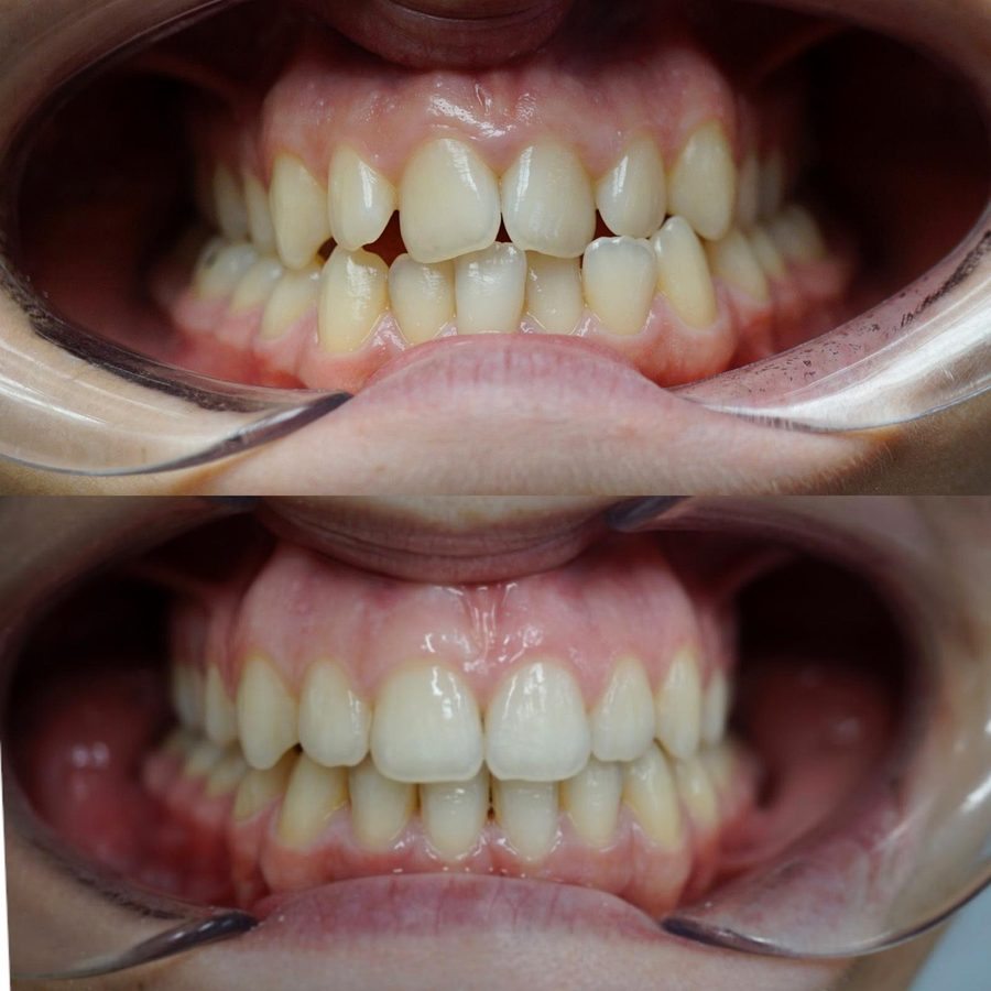
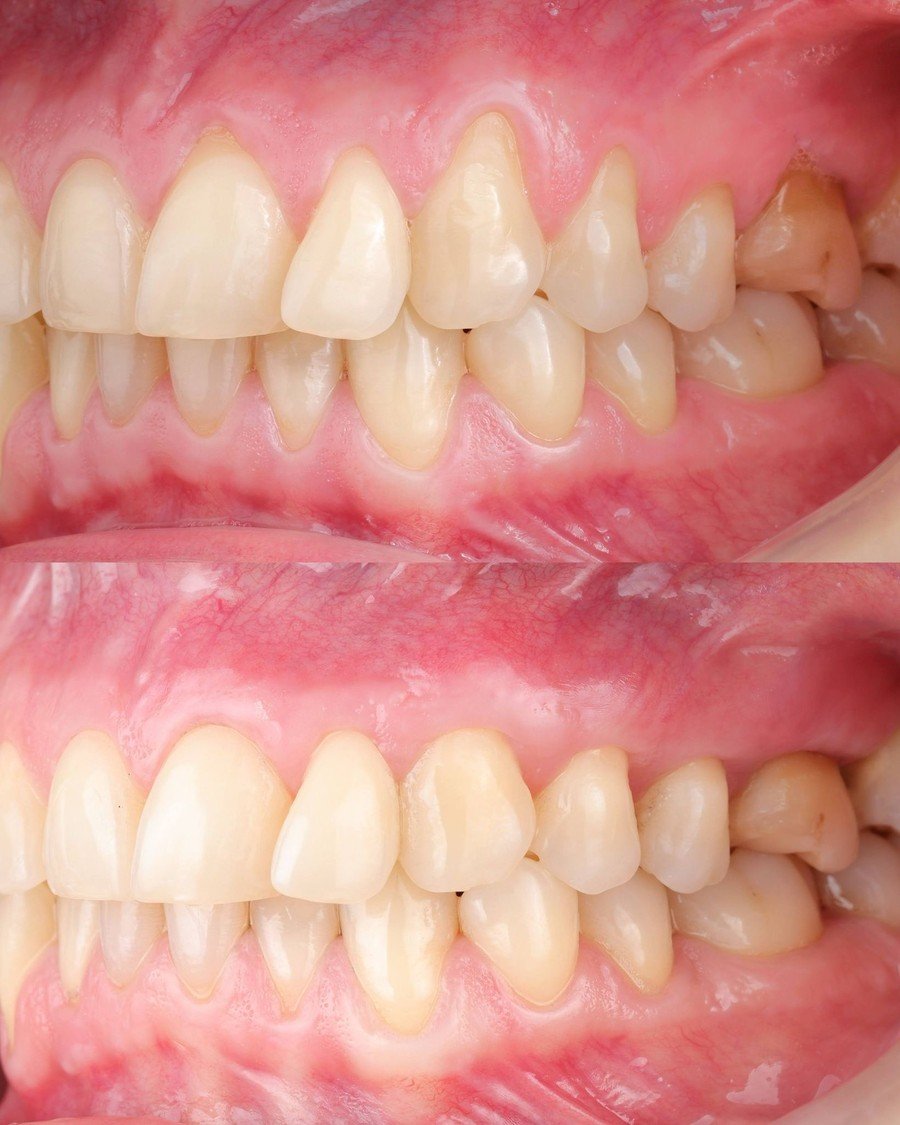
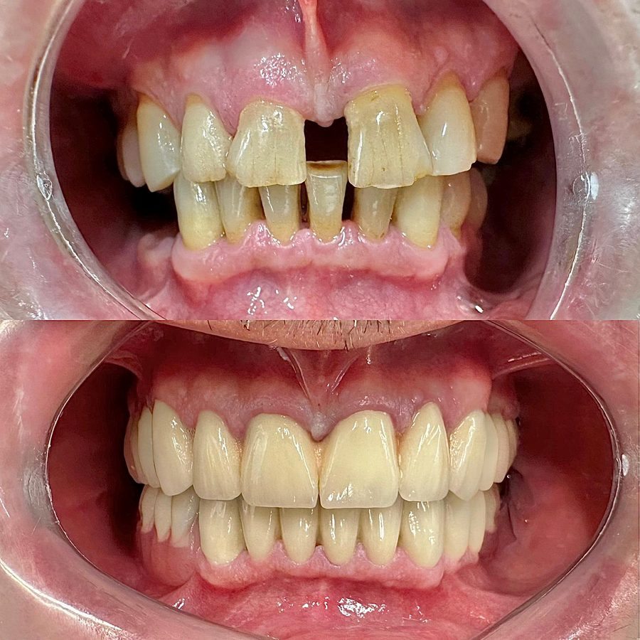
Rezultati lečenja

Pre i posle — radovi koji govore

Svaki slučaj je jedinstven. Prikazujemo stvarne primere naših stomatoloških intervencija — od konzervativnih popravki i izbeljivanja do protetike, implantata i ortodontskih korekcija.

Bezmetalne cirkon keramičke krune
1 / 11
Rad 1 Rad 2 Rad 3 Rad 5 Rad 6 Rad 7 Rad 8 Rad 9 Rad 10 Rad 11 Rad 12
Usluge

Pregledi i lečenje zuba

Konzervativna stomatologija i endodoncija

Pregledi i lečenje zuba spadaju među najčešće razloge dolaska pacijenata u ordinaciju Dentana Pro. Redovne kontrole omogućavaju da se karijes i druge promene otkriju na vreme, kada se problem najčešće može rešiti jednostavnije, uz očuvanje što više zdravog zubnog tkiva.

Kada je oštećenje uznapredovalo, može doći do upale zubnog živca ili promena u predelu korena zuba, kada je potrebna endodontska terapija. U takvim situacijama važno je reagovati na vreme, kako bi se bol, infekcija i dalje komplikacije sanirali uz pažljivo planiran pristup i izbor najboljeg rešenja za konkretan zub.

U Dentana Pro fokus je na preciznoj dijagnostici, kvalitetnim materijalima i terapiji koja obnavlja funkciju zuba, uz prirodan i estetski skladan rezultat. Cilj nam je da svaki zub, kada god je to moguće, sačuvamo i vratimo mu zdravlje, stabilnost i lep izgled.

Zakažite pregled
Pregledi i lečenje zuba — Dentana Pro
Pregledi i lečenje zuba — Dentana Pro
Pregledi i lečenje zuba — Dentana Pro
Pregledi i lečenje zuba — Dentana Pro
Pregledi i lečenje zuba — Dentana Pro
Usluge

Oralna hirurgija

U ordinaciji Dentana Pro obavljamo širok spektar oralnohirurških zahvata, od rutinskih intervencija do složenijih procedura, uz pažljivo planiranje i individualan pristup svakom pacijentu.

Usluge oralne hirurgije obuhvataju:

  • vađenje zuba, od jednostavnih do komplikovanih ekstrakcija
  • hirurško vađenje impaktiranih i poluimpaktiranih umnjaka
  • apikotomije, odnosno resekcije korena zuba
  • frenektomije usne i jezika
  • podizanje sinusa i zatvaranje oroantralnih komunikacija
  • vestibuloplastiku
  • preprotetske hirurške zahvate, uključujući izravnjavanje viličnih grebenova
  • ugradnju implantata
  • druge oralnohirurške intervencije u skladu sa kliničkim nalazom

Zahvate obavlja dr Tijana Aćimović, specijalista parodontalne hirurgije, uz jasan plan terapije i pažljivo vođen oporavak pacijenta.

Implantati

Dentalni implanti predstavljaju savremeno i dugoročno rešenje za nadoknadu jednog ili više izgubljenih zuba. Izrađeni su od biokompatibilnog titanijuma i ugrađuju se u kost, gde tokom zarastanja ostvaruju stabilnu vezu sa kosti kroz proces oseointegracije.

Nakon perioda zarastanja, koji zavisi od kliničkog nalaza i plana terapije, izrađuje se protetski rad kojim se nadoknađuje vidljivi deo zuba i vraćaju funkcija, stabilnost i prirodan izgled osmeha.

Zakažite pregled
Oralna hirurgija — Dentana Pro
Oralna hirurgija — Dentana Pro
Oralna hirurgija — Dentana Pro
Oralna hirurgija — Dentana Pro
Oralna hirurgija — Dentana Pro
Usluge

Ortodoncija

Ortodoncija je grana stomatologije koja se bavi ispravljanjem nepravilnog položaja zuba i vilica, kao i usmeravanjem pravilnog rasta i razvoja orofacijalnog sistema. Pored estetskog efekta, pravilno postavljeni zubi i vilice važni su za funkciju zagrižaja, lakše održavanje oralne higijene i dugoročno očuvanje zdravlja zuba i potpornog aparata.

U ordinaciji Dentana Pro ortodontske terapije planiraju se individualno, u skladu sa uzrastom pacijenta, kliničkim nalazom i analizom odgovarajućih snimaka. Cilj terapije nije samo lepši osmeh, već i uspostavljanje pravilnih funkcionalnih odnosa u usnoj duplji.

Ortodonska terapija može se započeti u različitim životnim dobima. Kod dece u mlečnoj i mešovitoj denticiji koriste se mobilni aparati i miofunkcionalne vežbe koje podstiču pravilan rast i razvoj vilica i mišića lica, dok se kod pacijenata sa stalnom denticijom najčešće primenjuju fiksni ortodontski aparati za precizno pomeranje zuba u pravilan položaj.

Važno je naglasiti da za ortodontsku terapiju ne postoji strogo starosno ograničenje, ali se pravovremenim započinjanjem terapije često postižu brži i jednostavniji rezultati.

Ortodonske terapije u Dentana Pro ordinaciji vodi dr Jasmina Milišić, specijalista ortodoncije, sa ciljem da svaki pacijent dobije funkcionalno, stabilno i estetski skladno rešenje.

Zakažite pregled
Ortodoncija — Dentana Pro
Ortodoncija — Dentana Pro
Usluge

Protetika

Stomatološka protetika bavi se nadoknadom izgubljenih zuba i obnovom oštećenih zubnih struktura, sa ciljem da se povrate funkcija, stabilnost zagrižaja i prirodan izgled osmeha. U ordinaciji Dentana Pro protetska terapija planira se individualno, na osnovu pregleda, analize zuba i potpornog aparata, kao i odgovarajućih snimaka.

Krunice i mostovi

Krunice i mostovi predstavljaju fiksne protetske nadoknade koje se koriste za obnovu oštećenih zuba ili nadoknadu nedostajućih zuba. Krunice se postavljaju kada je zub oslabljen, značajno oštećen ili estetski i funkcionalno narušen, dok se mostovi izrađuju kada nedostaje jedan ili više zuba i potrebno je zatvoriti bezubi prostor.

U Dentana Pro ordinaciji izrađuju se metalokeramičke i bezmetalne krunice i mostovi, uz pažljiv izbor materijala, oblika i boje, kako bi rezultat bio funkcionalan, dugotrajan i prirodan u osmehu pacijenta.

Proteze

Proteze pripadaju mobilnim protetskim nadoknadama i predstavljaju terapijsko rešenje kod nedostatka većeg broja zuba. U zavisnosti od kliničkog nalaza, mogu biti parcijalne ili totalne. Parcijalne proteze koriste se kada u vilici još postoje prirodni zubi, dok se totalne proteze izrađuju kod potpune bezubosti.

Cilj terapije nije samo nadoknada izgubljenih zuba, već i obnavljanje pravilne funkcije žvakanja, govora i potpore mekim tkivima lica.

Kombinovani radovi

Kod pacijenata sa parcijalnom bezubošću mogu se izrađivati i kombinovani radovi, koji objedinjuju fiksne i mobilne protetske nadoknade. U takvim slučajevima postojeći zubi se ojačavaju i uključuju u terapiju kao nosači, dok se mobilni deo rada koristi za nadoknadu bezubih polja. Ovakva rešenja planiraju se pažljivo, sa ciljem da se postigne dobra stabilnost, funkcionalnost i komfor u svakodnevnom nošenju.

Protetske radove u ordinaciji Dentana Pro vode dr Ana Jaraković i dr Zorica Popović Ignjatović, uz posebnu pažnju prema preciznom planiranju terapije, funkcionalnosti, udobnosti i prirodnom estetskom rezultatu.

Zakažite pregled
Protetika — Dentana Pro
Protetika — Dentana Pro
Protetika — Dentana Pro
Protetika — Dentana Pro
Protetika — Dentana Pro
Protetika — Dentana Pro
Protetika — Dentana Pro
Usluge

Parodontologija

Zdravlje desni i potpornog aparata zuba ima ključnu ulogu u očuvanju prirodnih zuba. Krvarenje desni, otok, crvenilo, povlačenje desni, osetljivost i neprijatan zadah često su prvi znaci da je potrebno reagovati na vreme.

U ordinaciji Dentana Pro posebna pažnja posvećuje se ranom prepoznavanju i lečenju gingivitisa i parodontalnih oboljenja. Nakon detaljnog pregleda procenjuje se stanje desni, prisustvo kamenca, dubina parodontalnih džepova i stepen zahvaćenosti potpornog tkiva, kako bi se odredio najadekvatniji plan terapije za svakog pacijenta.

Kada se problemi otkriju u ranoj fazi, stanje desni se često može značajno poboljšati i stabilizovati pravovremenom i pravilno vođenom terapijom. Kod uznapredovalih stanja cilj lečenja je zaustavljanje napredovanja bolesti, smanjenje tegoba i očuvanje zuba koliko god je to moguće.

U Dentana Pro pristup terapiji je individualan i može obuhvatiti konzervativno i hirurško lečenje, u skladu sa kliničkom slikom i potrebama pacijenta. Fokus je na funkcionalnom, dugoročno održivom rešenju i očuvanju zdravlja desni kao osnove stabilnog i zdravog osmeha.

Zakažite pregled
Parodontologija — Dentana Pro
Parodontologija — Dentana Pro
Parodontologija — Dentana Pro
Parodontologija — Dentana Pro
Zakazivanje i kontakt

Zakažite pregled

Zakazivanje termina

Zakažite pregled

Pošaljite nam zahtev za termin putem formulara. Javićemo vam se radi potvrde termina i organizacije dolaska.

Kontaktiraćemo vas telefonom ili emailom radi potvrde termina.

Kontakt

Pronađite nas

📍
Lokacija
Republička 1a, Beograd
Sunčana Padina, u blizini Banovog brda i Žarkova
📞
Zakazivanje telefonom
✉️
💬
WhatsApp
+381 63 349 128
Brza komunikacija i zakazivanje

Radno vreme

Ponedeljak — Petak11:00 — 19:00
SubotaNeradni dan
NedeljaNeradni dan
Zakazivanje

Zakažite pregled telefonom:

+381 63 349 128 | +381 11 236-0421